ฝี เป็นปัญหาสุขภาพที่พบได้บ่อย และสามารถเกิดขึ้นได้กับทุกคน ไม่ว่าจะเป็นฝีที่ผิวหนัง ฝีในช่องปาก หรือฝีภายในร่างกาย แม้ว่าจะดูเป็นเรื่องเล็กน้อย แต่หากไม่ได้รับการรักษาอย่างถูกต้อง อาจนำไปสู่ภาวะแทรกซ้อนที่ร้ายแรงได้
บทความนี้ ร้านยา เอ็กซ์ต้า พลัส จึงมีข้อมูลดี ๆ เกี่ยวกับฝี รวมถึงสาเหตุ อาการ วิธีการรักษา และการป้องกัน มาฝากทุกคนกัน
ฝี คืออะไร?

ฝี(Abscess) คือ การสะสมของหนองที่เกิดขึ้นภายในเนื้อเยื่อของร่างกาย หนองนี้ประกอบด้วยเซลล์เม็ดเลือดขาวที่ตายแล้ว แบคทีเรีย เนื้อเยื่อที่สลายตัว และโปรตีนต่าง ๆ ฝีสามารถเกิดขึ้นได้ในทุกส่วนของร่างกาย ไม่ว่าจะเป็นผิวหนัง หรืออวัยวะภายใน
กระบวนการเกิด ฝี
เมื่อร่างกายได้รับเชื้อแบคทีเรีย หรือสิ่งแปลกปลอมจากภายนอก ระบบภูมิคุ้มกันจะตอบสนองโดยการส่งเซลล์เม็ดเลือดขาวไปยังบริเวณที่ติดเชื้อ โดยเซลล์เหล่านี้จะพยายามกำจัดเชื้อโรค แต่ในกระบวนการนี้ทำให้เซลล์เม็ดเลือดขาวบางส่วนตายลง จึงทำให้เกิดการสะสมของหนองในบริเวณนั้น
ประเภทของ ฝี

ฝีมีหลายประเภทขึ้นอยู่กับตำแหน่งที่เกิด และสาเหตุของการติดเชื้อ เราสามารถแบ่งฝีออกเป็นประเภทต่าง ๆ ดังนี้
ฝี ผิวหนัง (Skin Abscesses)
ฝีผิวหนัง หรือฝีที่เกิดใต้ผิวหนัง เป็นฝีที่พบได้บ่อย และรักษาได้ง่าย ประเภทของฝีผิวหนัง ได้แก่
- ฝีรักแร้ (Armpit Abscess) เกิดขึ้นเมื่อหนองสะสมที่บริเวณรักแร้ สาเหตุที่พบบ่อย คือ โรคต่อมเหงื่ออักเสบ (Hidradenitis Suppurativa) ซึ่งทำให้เกิดตุ่มแดงที่กดแล้วเจ็บ และสามารถพัฒนาเป็นฝีได้
- ฝีเต้านม (Breast Abscess) เป็นฝีที่เกิดขึ้นในเนื้อเยื่อเต้านม การติดเชื้อที่ไม่ได้รับการรักษาอาจนำไปสู่การเกิดฝีชนิดนี้ได้ มักพบในผู้ที่ให้นมบุตร
- ฝีรอบทวารหนัก (Anorectal Abscess) ฝีที่เกิดขึ้นใต้ผิวหนังรอบ ๆ ทวารหนักหรือไส้ตรง อีกประเภทหนึ่งคือ ฝีคัณฑสูตร (Fistula) ซึ่งส่งผลต่อผิวหนังรอบทวารหนัก และ ฝีบริเวณร่องก้น (Pilonidal Abscess) ที่เกิดในรอยพับของก้น
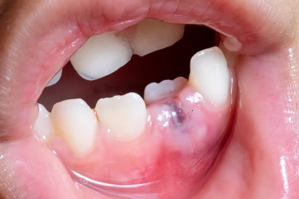
ฝีในช่องปาก (Abscesses in the Mouth)
ฝีในช่องปากสามารถเกิดขึ้นที่ฟัน เหงือก และลำคอ ประเภทของฝีในช่องปาก ได้แก่
- ฝีเหงือก (Gingival Abscess) เกิดขึ้นในเหงือกโดยไม่ส่งผลต่อฟัน
- ฝีปลายรากฟัน (Periapical Abscess) เกิดขึ้นที่ปลายรากฟัน สาเหตุอาจมาจากการบาดเจ็บที่ฟัน หรือฟันผุ
- ฝีปริทันต์ (Periodontal Abscess) ส่งผลต่อกระดูก และเนื้อเยื่อที่พยุงฟัน มักเกิดจากโรคเหงือกอักเสบ หรือโรคปริทันต์
ฝีอื่น ๆ ในช่องปากยังรวมถึง
- ฝีทอนซิล (Tonsil Abscess) เกิดขึ้นบริเวณหลังต่อมทอนซิล พบมากในวัยรุ่น และผู้ใหญ่ตอนต้น
- ฝีรอบทอนซิล (Peritonsillar Abscess) หรือที่เรียกว่า Quinsy เป็นการสะสมของหนองระหว่างต่อมทอนซิล และผนังคอหอย
- ฝีหลังคอหอย (Retropharyngeal Abscess) เกิดขึ้นในบริเวณด้านหลังของในลำคอ เมื่อต่อมน้ำเหลืองในบริเวณนั้นติดเชื้อ
ฝี ภายในร่างกาย (Internal Abscesses)
ฝีภายในร่างกายเกิดขึ้นน้อยกว่าฝีภายนอก แต่สามารถเกิดขึ้นที่ไขสันหลัง สมอง และอวัยวะอื่น ๆ ซึ่งฝีภายในมักวินิจฉัย และรักษาได้ยากกว่า
- ฝีในช่องท้อง (Abdominal Abscess) เป็นการสะสมของหนองภายในช่องท้อง อาจเกิดขึ้นภายในหรือบริเวณใกล้ชิดกับตับ ไต ตับอ่อน หรืออวัยวะอื่น ๆ
- ฝีไขสันหลัง (Spinal Cord Abscess) การสะสมของหนองที่ภายในหรือบริเวณรอบ ๆ ไขสันหลัง มักเกิดจากการติดเชื้อที่กระดูกสันหลัง
- ฝีสมอง (Brain Abscess) เป็นฝีที่เกิดขึ้นในสมอง พบได้น้อย แต่ร้ายแรง สาเหตุอาจมาจากการติดเชื้อที่แพร่กระจายผ่านกระแสเลือดหรือการบาดเจ็บที่ศีรษะ
สาเหตุของ ฝี
มักเกิดจากการติดเชื้อแบคทีเรีย โดยเฉพาะแบคทีเรียชนิด Staphylococcus Aureus เมื่อเข้าสู่ร่างกาย ระบบภูมิคุ้มกันจะส่งเซลล์เม็ดเลือดขาวยับยั้งการติดเชื้อ ทำให้เกิดการอักเสบ และเนื้อเยื่อใกล้เคียงจะตายลง ส่งผลให้เกิดโพรงที่เต็มไปด้วยหนอง
ปัจจัยเสี่ยงที่เพิ่มโอกาสการเกิด ฝี
- ระบบภูมิคุ้มกันอ่อนแอ ผู้ที่มีระบบภูมิคุ้มกันไม่แข็งแรง เช่น ผู้ป่วยโรคเบาหวาน ผู้ที่รับยากดภูมิคุ้มกัน หรือผู้ติดเชื้อ HIV
- การสัมผัสกับสิ่งสกปรก การอยู่ในสภาพแวดล้อมที่ไม่สะอาด
- การมีโรคผิวหนังเรื้อรัง เช่น โรคผื่นภูมิแพ้ผิวหนัง หรือโรคสะเก็ดเงิน
- การใช้สารเสพติดทางหลอดเลือดดำ เพิ่มโอกาสการติดเชื้อเข้าสู่ร่างกาย
การติดเชื้ออื่น ๆ ที่ทำให้เกิดฝี
นอกจากแบคทีเรียแล้ว ฝียังสามารถเกิดจากการติดเชื้อของเชื้อรา หรือปรสิตได้ในบางกรณี โดยเฉพาะในผู้ที่มีภูมิคุ้มกันต่ำ
อาการของฝี
อาการของฝีผิวหนัง
ฝีใต้ผิวหนังมักจะมองเห็นได้ง่าย อาจปรากฏเป็นตุ่มบวมแดง กดแล้วเจ็บปวด และรู้สึกร้อนเมื่อสัมผัส นอกจากนี้ผิวหนังบริเวณกลางฝีอาจบางลง และมีสีเหลืองหรือขาว เนื่องจากหนองอยู่ใต้ผิวหนัง รวมถึงมีอาการอื่น ๆ ด้วย เช่น
- มีอาการปวด
- มีไข้
- หนาวสั่น
อาการของฝีในช่องปาก
ฝีในช่องปากอาจทำให้เกิดอาการปวดฟันอย่างรุนแรง ฝีเหงือกจะปรากฏเป็นอาการบวมที่เหงือก บางครั้งขากรรไกร พื้นปาก หรือแก้มอาจบวม นอกจากนี้ยังมีอาการอื่น ๆ ประกอบด้วย ได้แก่
- ฟันไวต่อความรู้สึก
- มีไข้
- กลืนลำบาก
- อ้าปากลำบาก
อาการของฝีภายใน
สำหรับฝีที่อยู่ภายในร่างกาย อาการอาจไม่ชัดเจนเท่าฝีผิวหนัง นอกจากนี้ยังมีอาการทั่วไปเกิดขึ้นด้วย ได้แก่
- อ่อนเพลีย
- ปวดและเจ็บในบริเวณที่ติดเชื้อ
- มีไข้
- หนาวสั่น
- เหงื่อออกมาก
- เบื่ออาหาร
- น้ำหนักลด
วิธีสังเกต ฝีกับสิวต่างกันยังไง?
ลักษณะของฝี
- การเกิด: ฝีเกิดจากการติดเชื้อแบคทีเรียที่นำไปสู่การสะสมของหนองภายในเนื้อเยื่อ
- อาการ: บวมแดง เจ็บปวดมาก หนองสะสมอยู่ลึกลงไปในผิวหนัง มีขนาดใหญ่และเติบโตเร็ว อาจมีไข้ร่วมด้วย
- ตำแหน่งที่พบ: สามารถเกิดขึ้นได้ทั่วร่างกาย รวมถึงบริเวณที่ไม่มีรูขุมขน
ลักษณะของสิว
- การเกิด: สิวเกิดจากการอุดตันของรูขุมขนจากน้ำมัน (Sebum) และเซลล์ผิวหนังที่ตายแล้ว
- อาการ: มีตุ่มเล็ก ๆ หรือหัวหนองที่ผิวหนัง มักไม่เจ็บปวดเท่าฝี ยกเว้นสิวอักเสบ
- ตำแหน่งที่พบ: พบมากในบริเวณที่มีต่อมไขมันมาก เช่น ใบหน้า หลัง และหน้าอก
วิธีแยกความแตกต่างระหว่าง ฝี และ สิว
- ความเจ็บปวด ฝีมักมีอาการเจ็บปวดมากกว่า และอาจรู้สึกปวดลึก ๆ ในเนื้อเยื่อ ส่วนสิวมักมีอาการเจ็บเล็กน้อย หรือไม่มีเลย
- ขนาดและการเติบโต ฝีมักมีขนาดใหญ่กว่าและเติบโตเร็ว ส่วนสิวมักมีขนาดเล็ก และเติบโตช้า
- ลักษณะของหนอง ฝีมีหนองสะสมอยู่ลึกและมากกว่า ส่วนสิวมีหนองเล็กน้อยที่ผิวหนัง
- อาการร่วม ฝีอาจมีอาการไข้หรืออ่อนเพลียร่วมด้วย ซึ่งสิวมักไม่มี
วิธีรักษา ฝี
การรักษา ฝี ขนาดเล็กด้วยตนเอง
ฝีขนาดเล็กหรือ ฝีที่ใกล้ผิวหนังอาจหายไปเอง การประคบอุ่นสามารถช่วยให้ฝีระบายหนองออกมาได้เอง แต่ไม่ควรพยายามบีบหรือเจาะฝีเอง เพราะอาจทำให้การติดเชื้อแพร่กระจาย
การรักษาด้วยยาปฏิชีวนะ
แพทย์อาจสั่งยาปฏิชีวนะเพื่อกำจัดแบคทีเรีย แต่ในบางกรณี การรักษาอาจต้องมีการระบายหนองร่วมด้วย
การระบายหนอง (Incision and Drainage)
แพทย์จะใช้ยาชาเฉพาะที่ จากนั้นทำการกรีดฝีเพื่อระบายหนอง และนำเนื้อเยื่อที่ตายแล้วออก โพรงจะถูกเปิดออกเพื่อให้หนองที่เหลือระบายออกมา และปิดด้วยผ้าพันแผลสะอาด
การรักษาฝี ในช่องปาก
ทันตแพทย์จะทำการระบายหนองออก อาจต้องทำการรักษารากฟัน หรือถอนฟันที่ได้รับผลกระทบ และอาจสั่งยาปฏิชีวนะไปรักษาเพิ่มเติม
การรักษาฝีภายใน
สำหรับฝีภายใน แพทย์อาจทำการดูดหนองด้วยเข็ม โดยใช้การนำทางด้วยอัลตราซาวนด์ หรือซีทีสแกน หรืออาจจะต้องทำการผ่าตัดในบางกรณี
การใช้สิทธิบัตรทองในการรักษาฝีที่ร้านยา
สำหรับผู้ที่มีอาการฝีที่ไม่รุนแรง หรือมีฝีหนองที่ผิวหนัง สามารถใช้สิทธิบัตรทอง เพื่อรับบริการที่ร้านยาที่เข้าร่วม “โครงการร้านยาคุณภาพของฉัน ให้บริการดูแลอาการเจ็บป่วยเล็กน้อย 32 อาการ” ได้ ซึ่งจะมีเภสัชกรคอยให้คำปรึกษา และจ่ายยาที่จำเป็น เช่น ยาฆ่าเชื้อ ยาแก้ปวดหรือยาทาฝีเบื้องต้น โดยไม่เสียค่าใช้จ่าย
ผู้ที่ต้องการใช้สิทธิบัตรทองสำหรับรักษาฝีที่ร้านยา สามารถตรวจสอบรายชื่อร้านยาใกล้บ้านได้ผ่านแอปพลิเคชัน หรือเว็บไซต์ของสำนักงานหลักประกันสุขภาพแห่งชาติ (สปสช.) [เช็กรายชื่อร้านยาได้ที่นี่]
ทั้งนี้ การใช้สิทธิบัตรทองในการรักษาฝีที่ร้านยาเป็นทางเลือกที่เหมาะสำหรับผู้ที่มีอาการฝีที่ไม่รุนแรง และต้องการการดูแลเบื้องต้นโดยไม่ต้องเดินทางไปโรงพยาบาลเท่านั้น หากมีอาการของโรคที่รุนแรงควรเข้ารับการรักษาจากแพทย์ทันที
วิธีป้องกันฝีด้วยตัวเอง
การป้องกันฝีผิวหนัง
- รักษาความสะอาดของผิวหนัง และแผล
- ล้างมือบ่อย ๆ
- ไม่ใช้ของใช้ส่วนตัวร่วมกับผู้อื่น เช่น ผ้าเช็ดตัว มีดโกน หรือแปรงสีฟัน
- หลีกเลี่ยงการสร้างแผลบริเวณผิวหนังขณะโกนหนวด
- รักษาสุขภาพด้วยการรับประทานอาหารที่มีประโยชน์ ออกกำลังกาย และงดสูบบุหรี่
การป้องกันฝีในช่องปาก
- รักษาสุขภาพช่องปากด้วยการแปรงฟัน และใช้ไหมขัดฟันให้สะอาด
- เข้าพบทันตแพทย์เป็นประจำทุก ๆ 6 เดือน
การป้องกันฝีภายใน
ฝีภายในมักเกิดจากภาวะแทรกซ้อนของโรคอื่น ๆ การรักษา และป้องกันโรคพื้นฐาน เช่น การรักษาสุขภาพให้แข็งแรง หรือตรวจสุขภาพเป็นประจำจึงเป็นสิ่งสำคัญ
คำถามที่พบบ่อยเกี่ยวกับฝี
ฝีแตกต่างจากฝีฝักบัว และฝีอื่นอย่างไร?
ฝี(Abscess) คือการสะสมของหนองในเนื้อเยื่อ ฝีฝักบัว (Carbuncle) เป็นฝีที่เกิดจากการรวมตัวของฝีเล็ก ๆ หลายฝี ส่วนฝีที่เกิดบริเวณรูขุมขนหรือต่อมเหงื่อ และมักอยู่ใกล้ผิวหนังมากกว่าฝีทั่วไป
การบีบหรือกดฝีเป็นอันตรายหรือไม่?
อันตราย เพราะการบีบหรือกดฝีอาจทำให้เชื้อแบคทีเรียแพร่กระจายไปยังบริเวณอื่น หรือเข้าสู่กระแสเลือดได้ ซึ่งอาจทำให้เกิดการติดเชื้อที่รุนแรงขึ้น ควรให้แพทย์หรือผู้เชี่ยวชาญเป็นผู้ดูแล
ฝี ที่ไม่ได้รับการรักษาจากแพทย์สามารถหายเองได้หรือไม่?
ฝีขนาดเล็กอาจปล่อยให้หายไปเองตามธรรมชาติได้ แต่ฝีขนาดใหญ่หรือฝีที่อวัยวะภายในจำเป็นต้องได้รับการรักษา หากไม่รักษา ฝีอาจจะแตก นำไปสู่การแพร่กระจายของเชื้อ ซึ่งอาจเป็นอันตรายถึงชีวิตได้
ฝีที่อวัยวะภายในอันตรายแค่ไหน?
ที่อวัยวะภายใน เช่น ฝีในสมอง หรือฝีในช่องท้อง เป็นภาวะที่อันตราย และต้องเข้ารับการรักษาจากแพทย์ทันที หากไม่ได้รับการรักษา อาจนำไปสู่ภาวะแทรกซ้อนที่รุนแรงหรือเสียชีวิตได้
ควรดูแลตนเองอย่างไรหลังได้รับการรักษาฝี?
หมั่นตรวจเช็กแผลทุกวัน ทำแผล และเปลี่ยนผ้าพันแผลตามคำแนะนำของแพทย์อย่างเคร่งครัด และหากมีอาการผิดปกติ เช่น ไข้ บวมแดง หรือปวดมากขึ้น ควรพบแพทย์ทันที
สรุป
ฝีเป็นภาวะที่สามารถเกิดขึ้นได้กับทุกคน การทำความเข้าใจกับโรค ไม่ว่าจะเป็น ประเภทของฝี อาการ สาเหตุ วิธีการรักษา และการป้องกัน จะช่วยให้สามารถจัดการกับฝีได้อย่างถูกต้อง และปลอดภัย ทั้งนี้หากสงสัยว่ามีฝี หรือมีอาการที่น่ากังวล ควรปรึกษาแพทย์ หรือเภสัชกรเพื่อรับคำแนะนำและการรักษาที่เหมาะสม
ที่มา
รู้จักฝีดูแลก่อนกลัดหนอง จาก สำนักงานกองทุนสนับสนุนการสร้างเสริมสุขภาพ (สสส.)
Abscess บทความจาก Cleveland Clinic
อัปเดตและติดตามสาระสุขภาพดี ๆ จาก ร้านยา เอ็กซ์ต้า พลัส ได้ที่
หากมีข้อสงสัย หรืออยากสอบถามเพิ่มเติม เกี่ยวกับเรื่อง สุขภาพและการใช้ยา สามารถปรึกษากับเภสัชกรได้ที่ร้านยา เอ็กซ์ต้า พลัส ทุกสาขาทั่วประเทศ หรือสะดวกมากยิ่งขึ้น สามารถปรึกษาเภสัชกรร้านยา เอ็กซ์ต้า พลัส ผ่าน Application ALL PharmaSee ได้ตลอด 24 ชั่วโมง มาสุขภาพดีไปด้วยกันนะคะ
บทความที่เกี่ยวข้อง


